身體若有異狀,就要盡快就醫,免得耽誤黃金治療期。胸腔科名醫蘇一峰日前在臉書分享一則案例,一名60歲的女性無不良嗜好,卻咳嗽數月未癒,怎料照了電腦斷層CT檢查後,才驚覺是癌症找上門。

翻攝自臉書 (蘇一峰) ,下同
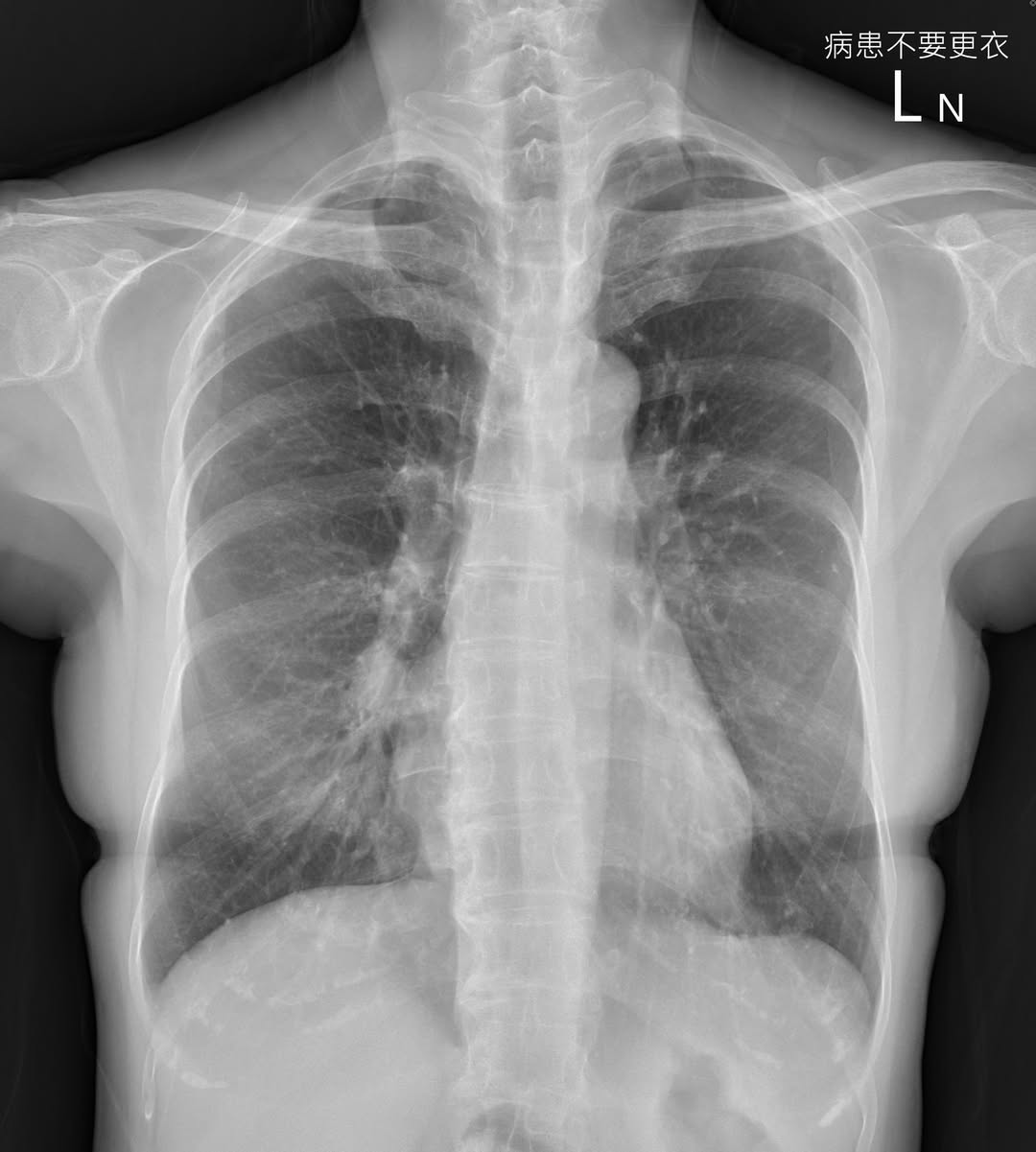
蘇一峰表示,女患者沒有抽菸習慣,卻有輕微咳嗽,半年多沒好,期間去過其他醫學中心,照X光看了沒事,判斷可能是長新冠,但治療後,咳嗽仍沒有好轉,於是到自己的門診求助。

蘇一峰迴憶,怎料X光一照,覺得大有問題,於是幫女患者安排後續的電腦斷層CT檢查,原來她肺部有3公分的腫瘤,確診為肺癌,大概第二期或三期,「當胸腔科醫師,門診X光片壓力很大啊!」
蘇一峰補充,以前住院醫師訓練時,老師教大家,「不要隨意幫病人照X光」,因為不僅不帶來任何收益,但若忽略病灶,「可能要負擔無比大的責任!」

示意圖,翻攝自pexels
最後,蘇一峰提醒,若出現長期咳嗽等呼吸道症狀,即便症狀輕微,仍應持續追蹤並尋求專業評估,避免延誤診斷,錯失治療黃金時機。

翻攝自臉書 (蘇一峰)
為了健康著想,東西最好不要亂吃!一名30歲的夏姓女子因持續乾咳,到廣醫附屬番禺中心醫院呼吸科門診就診,怎料胸部CT顯示,雙肺多發感染伴多發空洞形成,還有個形似「鬼臉」的特殊影像 (即:鬼臉症) ,主任醫師劉知陶懷疑她確診「新型隱球菌肺炎」,而夏女的回答,更是讓大家震驚不已。

翻攝自微博
根據《央視網》報導,劉知陶曾追問夏女近期是否曾接觸鳥類、禽類及飼養寵物,但她均否認,於是院方安排夏女抽血送檢隱球菌抗原以及無痛氣管鏡檢查,肺泡灌洗液送檢隱球菌抗原檢測及tNGS (靶向高通量測序) ;次日,血液及肺泡灌洗液均回報隱球菌抗原陽性,tNGS檢出高序列新型隱球菌,確診為「新型隱球菌肺炎」,入住呼吸與危重醫學科一區治療。

示意圖,翻攝自pexels
此時,夏女終於想起,兩週前收到朋友送的兩隻鴿子,就把鴿子養在家4天,後續宰殺並煲湯服用。
事後,劉知陶警告,夏女感染「新型隱球菌肺炎」與宰殺鴿子相關,其廣泛存在於鴿糞、土壤及腐爛植物中的真菌,乾燥後形成氣溶膠顆粒,通過呼吸道吸入感染人體,所幸經過相關治療後,她已順利康復出院。

示意圖,翻攝自pexels
劉知陶補充,養鴿人、鳥類愛好者、園藝工作者等長期接觸鳥類或土壤者,以及免疫力低下者 (HIV、器官移植、長期使用激素) ,皆為「新型隱球菌肺炎」的高風險族群,其初期可無症狀,輕症表現類似感冒 (如:咳嗽、低熱、胸痛) ,易被忽視。

示意圖,翻攝自pexels
至於重症者,劉知陶警告,可能出現高熱、呼吸困難、咯血等症狀,未及時控制的話,約10%患者會併發腦膜炎,死亡率高達60%至80%。

示意圖,翻攝自pexels
癌症真的很可怕...
(往下還有更多精彩文章!)