首頁
台灣
世界
動物
圖文
娛樂
女生
出門
動漫
生活
公關專欄
編輯專欄
網人365
 
選擇語言:
還原 简体 繁體
  • 關於我們
  • 徵才
  • 聯絡我們
  • 刊登廣告
  • 安卓APP
  • 愛瘋APP

TEEPR 亮新聞

選單
  • 首頁
  • 台灣
  • 世界
  • 動物
  • 娛樂
    • 電影
    • 星聞
    • 影評
    • 美漫
  • 圖文
  • 女生
    • 時尚單品
    • 美妝
    • 感情
  • 出門
    • 旅遊
    • 美食
  • 動漫
    • 動漫宅
    • 遊戲
    • Cosplay
  • 生活
    • 求職
    • 藝術
    • 知識
    • 星座
    • 科技
    • 小物
    • 親子
  • 公關專欄
  • 編輯專欄
    • 蘑菇宅
    • 雪若Q談人蔘
    • Adrian
    • ChloE直講
  • 網人365
    • 今日紅什麼
    • 本週主打星
  • TEEPR原創影片
    • 叭啦叭啦研究室
    • TEEPR推一波
    • 亮新聞
  • IG專區
首頁
台灣
世界
動物
圖文
娛樂
女生
出門
動漫
生活
公關專欄
編輯專欄
網人365

知識

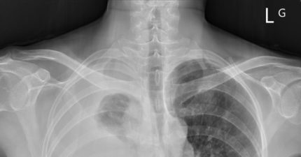
感染「超級細菌」超恐怖!正妹慘「肺部全是洞」兩周後身亡

March 14, 2024
世界, 知識

「生理期來能吃冰嗎?」網戰翻 婦產醫解答了:3樣東西別碰

March 13, 2024
台灣, 知識

(兒童不宜) 「忍住不射」超傷身?專家警告:東西會往1器官衝

March 11, 2024
台灣, 知識

(兒童不宜) 人妻常夢到被放進來!這晚感受太強烈 她驚醒睜眼一看慘了「居然不是夢」:為什麼要挑我睡覺

March 9, 2024
感情, 台灣, 知識

這洗衣小物竟是「滅蟑神器」 不小心滑進排水孔…她整個月沒見過小強

March 8, 2024
台灣, 知識

13歲少女趁半夜偷出門 「顏面骨碎裂成拼圖」母淚崩:是第一次

March 8, 2024
知識, 台灣

不抽菸也少煮飯…50歲女咳1個月「竟是肺癌末期」 醫示警1症狀千萬小心

March 6, 2024
台灣, 知識

「姊姊」、「姐姐」誰才有血緣關係?正確用法考倒萬人

March 6, 2024
台灣, 知識

她嘗試把「外表乾淨木湯匙」泡水洗 超噁成果網直呼:再也不敢用

March 5, 2024
世界, 知識

菩薩的家?車內導航跑出「蓮花圖示」 網瘋猜:正解不是廟

March 2, 2024
台灣, 知識

雙胞胎飲食「1素1葷」 實驗12週驚人差異曝

March 2, 2024
世界, 知識

小S公公家中猝逝!醫曝「心肌梗塞」4不要:想活命就照做

March 2, 2024
星聞, 台灣, 知識
跳轉頁面« 第一頁‹ 上一頁7475767778798081828384下一頁 ›最後一頁 »
← Older posts
Newer posts →
TEEPR原創影片
網人365
編輯專欄
公關專欄
生活
動漫
出門
ChloE直講
女生
娛樂
Travel Seefood
科技
小物
Adrian
圖文
雪若Q談人蔘
動物
美漫
親子
動漫宅
Jane的假的
影評
星座
遊戲
美妝
蘑菇宅
台灣
本週主打星
美食
世界
知識
Cosplay
時尚單品
叭啦叭啦研究室
電影
星聞
今日紅什麼
藝術
亮新聞
感情
旅遊
Girls Talk!
IG專區
激辯擂台
TEEPR推一波
求職
Pushnews 推日報 (Awesome Co. Ltd.) Copyright © 2014
DMCA.com Protection Status
關於我們
服務條款
隱私條款
聯絡我們
爆料信箱:contact@teepr.com
聯絡專線:+886-2-7709-1699
 
兒童不宜內容

此內容只給年滿18歲的讀者觀看,如非18歲請退出!

我大人了啦!
未滿18歲
cwv3_den_title

cwv3_den_msg

未滿18歲